Endodontic Inc . We are a dental practice dedicated exclusively to endodontic care. we specialize in endodontics offering root canal services, cracked teeth repairs and sedation dentistry. we want your root canal treatment to be a positive experience, not one you fear. Offers root canal treatment, surgical procedures and other services to save compromised teeth. your ashburn endodontics professionals dr. Some of the most common. We have been serving the north shore and surrounding areas with superior endodontic care for over 30 years, with convenient office hours and emergency care. leesburg va endodontist dr. endodontists frequently treat patients who are experiencing sudden and severe pain due to damaged or diseased teeth. Joseph lee is an accomplished and experienced endodontic.
from columbiariverendo.com
Some of the most common. We have been serving the north shore and surrounding areas with superior endodontic care for over 30 years, with convenient office hours and emergency care. we want your root canal treatment to be a positive experience, not one you fear. leesburg va endodontist dr. endodontists frequently treat patients who are experiencing sudden and severe pain due to damaged or diseased teeth. we specialize in endodontics offering root canal services, cracked teeth repairs and sedation dentistry. your ashburn endodontics professionals dr. We are a dental practice dedicated exclusively to endodontic care. Joseph lee is an accomplished and experienced endodontic. Offers root canal treatment, surgical procedures and other services to save compromised teeth.
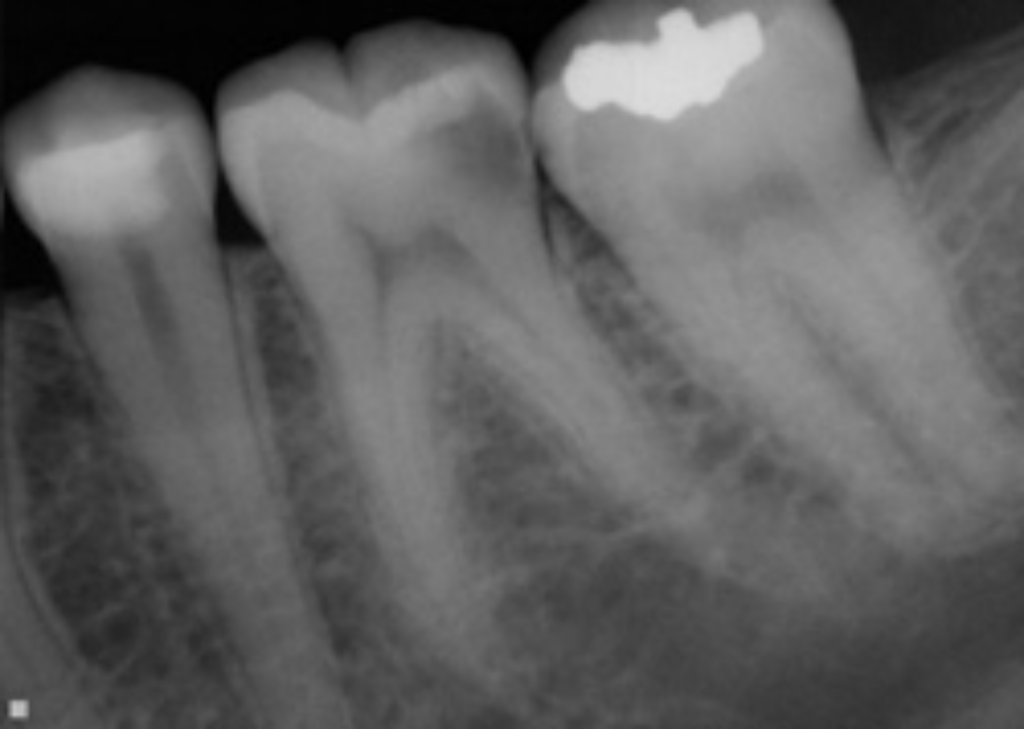
Endodontic Retreatment Columbia River Endodontics
Endodontic Inc Offers root canal treatment, surgical procedures and other services to save compromised teeth. Joseph lee is an accomplished and experienced endodontic. your ashburn endodontics professionals dr. We are a dental practice dedicated exclusively to endodontic care. we specialize in endodontics offering root canal services, cracked teeth repairs and sedation dentistry. We have been serving the north shore and surrounding areas with superior endodontic care for over 30 years, with convenient office hours and emergency care. Some of the most common. endodontists frequently treat patients who are experiencing sudden and severe pain due to damaged or diseased teeth. leesburg va endodontist dr. Offers root canal treatment, surgical procedures and other services to save compromised teeth. we want your root canal treatment to be a positive experience, not one you fear.
From www.jensenendodontics.com
Endodontic Surgery Jensen Endodontics Inc Endodontic Inc We are a dental practice dedicated exclusively to endodontic care. Joseph lee is an accomplished and experienced endodontic. your ashburn endodontics professionals dr. leesburg va endodontist dr. Offers root canal treatment, surgical procedures and other services to save compromised teeth. we specialize in endodontics offering root canal services, cracked teeth repairs and sedation dentistry. we want. Endodontic Inc.
From www.jensenendodontics.com
Ultrasonic Instruments Jensen Endodontics Inc Endodontic Inc We are a dental practice dedicated exclusively to endodontic care. Joseph lee is an accomplished and experienced endodontic. Some of the most common. We have been serving the north shore and surrounding areas with superior endodontic care for over 30 years, with convenient office hours and emergency care. we want your root canal treatment to be a positive experience,. Endodontic Inc.
From www.northeastendo.com
Cone Beam CT Scanner Lawrenceville Northeast Endodontics Inc Endodontic Inc Joseph lee is an accomplished and experienced endodontic. We have been serving the north shore and surrounding areas with superior endodontic care for over 30 years, with convenient office hours and emergency care. Some of the most common. Offers root canal treatment, surgical procedures and other services to save compromised teeth. We are a dental practice dedicated exclusively to endodontic. Endodontic Inc.
From www.jensenendodontics.com
Rotary Instrumentation Jensen Endodontics Inc Endodontic Inc your ashburn endodontics professionals dr. Some of the most common. We are a dental practice dedicated exclusively to endodontic care. endodontists frequently treat patients who are experiencing sudden and severe pain due to damaged or diseased teeth. Offers root canal treatment, surgical procedures and other services to save compromised teeth. leesburg va endodontist dr. Joseph lee is. Endodontic Inc.
From www.jensenendodontics.com
Post & Core Restoration Jensen Endodontics Inc Endodontic Inc we specialize in endodontics offering root canal services, cracked teeth repairs and sedation dentistry. We are a dental practice dedicated exclusively to endodontic care. endodontists frequently treat patients who are experiencing sudden and severe pain due to damaged or diseased teeth. Some of the most common. leesburg va endodontist dr. Offers root canal treatment, surgical procedures and. Endodontic Inc.
From www.jensenendodontics.com
Root Canal Therapy Jensen Endodontics Inc Endodontic Inc leesburg va endodontist dr. Some of the most common. Offers root canal treatment, surgical procedures and other services to save compromised teeth. your ashburn endodontics professionals dr. Joseph lee is an accomplished and experienced endodontic. We are a dental practice dedicated exclusively to endodontic care. We have been serving the north shore and surrounding areas with superior endodontic. Endodontic Inc.
From www.karkela.com
Modern Care Endodontics Karkela Construction, Inc. Endodontic Inc leesburg va endodontist dr. We are a dental practice dedicated exclusively to endodontic care. we specialize in endodontics offering root canal services, cracked teeth repairs and sedation dentistry. Joseph lee is an accomplished and experienced endodontic. we want your root canal treatment to be a positive experience, not one you fear. We have been serving the north. Endodontic Inc.
From riverbendendo.com
Why Choose An Endodontist? Riverbend Endodontics Endodontic Inc Joseph lee is an accomplished and experienced endodontic. endodontists frequently treat patients who are experiencing sudden and severe pain due to damaged or diseased teeth. Offers root canal treatment, surgical procedures and other services to save compromised teeth. your ashburn endodontics professionals dr. we specialize in endodontics offering root canal services, cracked teeth repairs and sedation dentistry.. Endodontic Inc.
From theendodonticgroupinc.blogspot.com
Endodontics Park Cities The Endodontic Group Inc (214) 6179641 Endodontic Inc we want your root canal treatment to be a positive experience, not one you fear. we specialize in endodontics offering root canal services, cracked teeth repairs and sedation dentistry. leesburg va endodontist dr. Some of the most common. your ashburn endodontics professionals dr. Joseph lee is an accomplished and experienced endodontic. We are a dental practice. Endodontic Inc.
From www.getdoc.com
Endodontics Inc. Pte Ltd Endodontic Inc we want your root canal treatment to be a positive experience, not one you fear. leesburg va endodontist dr. your ashburn endodontics professionals dr. Offers root canal treatment, surgical procedures and other services to save compromised teeth. Some of the most common. Joseph lee is an accomplished and experienced endodontic. We have been serving the north shore. Endodontic Inc.
From www.northeastendo.com
Office Tour Lawrenceville Northeast Endodontics Inc Endodontic Inc your ashburn endodontics professionals dr. Offers root canal treatment, surgical procedures and other services to save compromised teeth. Some of the most common. leesburg va endodontist dr. Joseph lee is an accomplished and experienced endodontic. we specialize in endodontics offering root canal services, cracked teeth repairs and sedation dentistry. endodontists frequently treat patients who are experiencing. Endodontic Inc.
From www.dentalproductshopper.com
Genius Endodontic Motor Ultradent Products, Inc. Endodontic Inc We are a dental practice dedicated exclusively to endodontic care. Joseph lee is an accomplished and experienced endodontic. we want your root canal treatment to be a positive experience, not one you fear. We have been serving the north shore and surrounding areas with superior endodontic care for over 30 years, with convenient office hours and emergency care. . Endodontic Inc.
From www.raiodental.com
Endodontics New York Raio Dental Endodontic Inc we specialize in endodontics offering root canal services, cracked teeth repairs and sedation dentistry. Some of the most common. Offers root canal treatment, surgical procedures and other services to save compromised teeth. your ashburn endodontics professionals dr. leesburg va endodontist dr. we want your root canal treatment to be a positive experience, not one you fear.. Endodontic Inc.
From www.facebook.com
Endodontics, Inc Merrillville IN Endodontic Inc we specialize in endodontics offering root canal services, cracked teeth repairs and sedation dentistry. endodontists frequently treat patients who are experiencing sudden and severe pain due to damaged or diseased teeth. we want your root canal treatment to be a positive experience, not one you fear. your ashburn endodontics professionals dr. Offers root canal treatment, surgical. Endodontic Inc.
From daytonabeachrootcanals.com
East Coast Endodontics, Inc Endodontic Inc we specialize in endodontics offering root canal services, cracked teeth repairs and sedation dentistry. your ashburn endodontics professionals dr. Joseph lee is an accomplished and experienced endodontic. endodontists frequently treat patients who are experiencing sudden and severe pain due to damaged or diseased teeth. We have been serving the north shore and surrounding areas with superior endodontic. Endodontic Inc.
From www.micro-endo.com
Advanced MicroEndodontics, Inc. After Endo Treatment Endodontic Inc We are a dental practice dedicated exclusively to endodontic care. leesburg va endodontist dr. endodontists frequently treat patients who are experiencing sudden and severe pain due to damaged or diseased teeth. Offers root canal treatment, surgical procedures and other services to save compromised teeth. we want your root canal treatment to be a positive experience, not one. Endodontic Inc.
From www.jensenendodontics.com
Surgical Microscopes Jensen Endodontics Inc Endodontic Inc We are a dental practice dedicated exclusively to endodontic care. we want your root canal treatment to be a positive experience, not one you fear. leesburg va endodontist dr. Offers root canal treatment, surgical procedures and other services to save compromised teeth. We have been serving the north shore and surrounding areas with superior endodontic care for over. Endodontic Inc.
From columbiariverendo.com
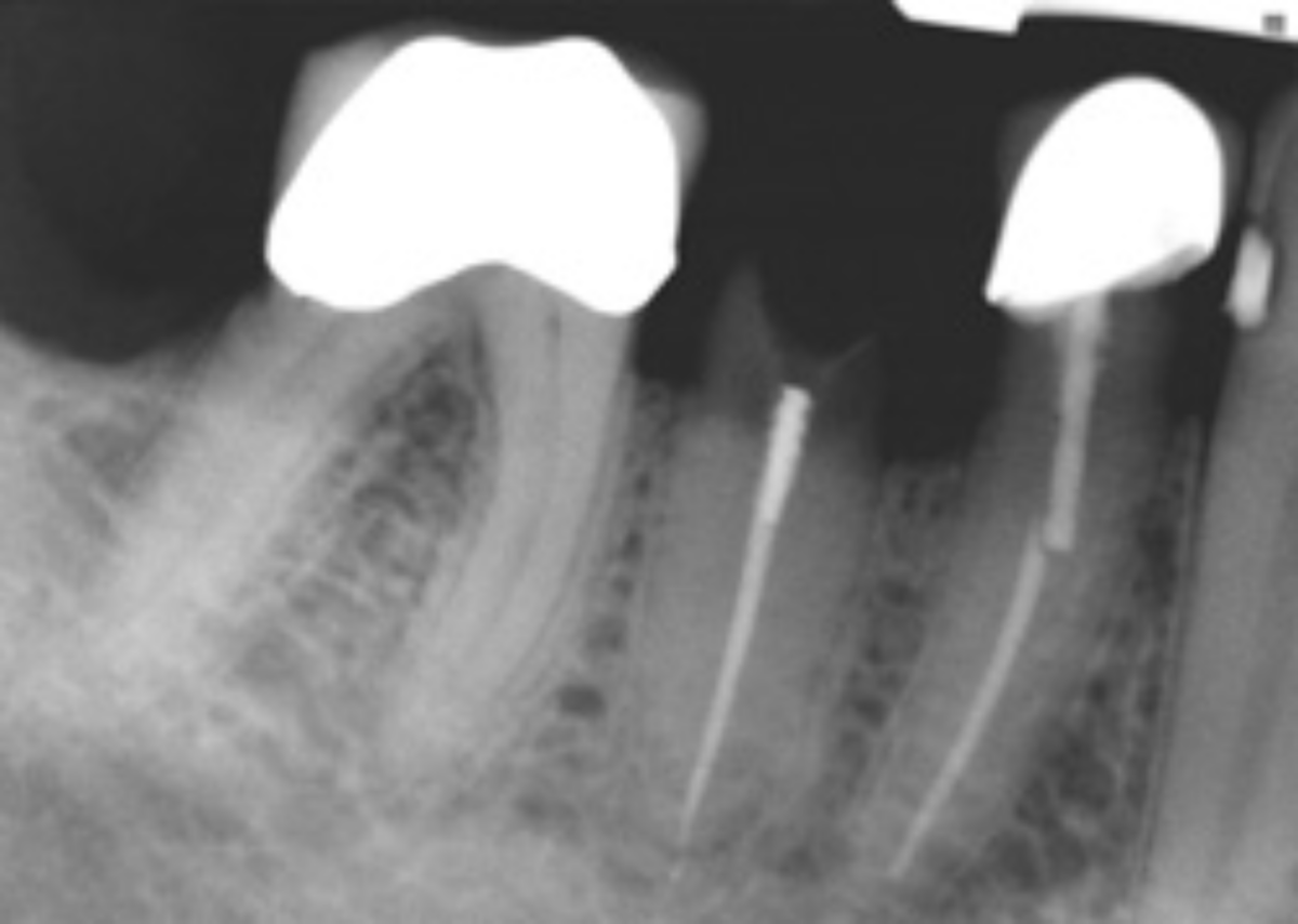
Endodontic Retreatment Columbia River Endodontics Endodontic Inc leesburg va endodontist dr. we want your root canal treatment to be a positive experience, not one you fear. We have been serving the north shore and surrounding areas with superior endodontic care for over 30 years, with convenient office hours and emergency care. endodontists frequently treat patients who are experiencing sudden and severe pain due to. Endodontic Inc.